Acceso abierto
Gustavo D. Ronzano (1), Francisco G. Casiello (1)
(1) Médico especialista en Cirugía Pediátrica
Sanatorio de Niños (Alvear 863, Rosario, Argentina)
Correspondencia a: Fgcasiello@gmail.com
Fecha de publicación: 06/02/2024
Citación sugerida: Ronzano GD, Casiello FG. Esplenectomía parcial videolaparoscópica en paciente pediátrico. Anuario (Fund. Dr. J. R. Villavicencio) 2024;31. Disponible en: https://villavicencio.org.ar/anuario/31/esplenectomia-parcial-videolaparoscopica.pdf ARK: http://id.caicyt.gov.ar/ark://vv4psteke
Este es un artículo de acceso abierto distribuido bajo los términos de Creative Commons Attribution License (https://creativecommons.org/licenses/by-nc-sa/4.0/deed.es), esto permite que Ud. lo use, lo distribuya y lo adapte, sin propósitos comerciales, siempre que se cite correctamente el trabajo original. Si crea un nuevo material con él, debe distribuirlo con la misma licencia.
Resumen
Introducción: El bazo es un órgano linfático y forma parte del sistema retículo endotelial. La patología primaria aislada es rara. El diagnóstico incidental de lesiones quísticas esplénicas está en aumento. El tratamiento es controversial. Las estrategias varían desde observación hasta abordajes intervencionistas. Presentamos el caso de un paciente pediátrico a quien se realizó esplenectomía parcial videolaparoscópica por lesión quística.
Presentación del caso: Paciente de 12 años de sexo femenino ingresó a la guardia por dolor abdominal en hipocondrio izquierdo de 8 días de evolución, con ecografía que informaba un quiste esplénico voluminoso. Se solicitó tomografía computarizada que informaba la presencia de un quiste de 80 x 70 mm y laboratorio para Hidatidosis, con resultado negativo. Se adecuaron las vacunas. Se realizó una esplenectomía parcial videolaparoscópica. La biopsia informó un quiste epitelial esplénico. La tomografía computarizada de control no evidenció lesiones residuales ni isquemia. La paciente se encontraba asintomática hasta el último control.
Discusión: Los quistes epiteliales esplénicos son infrecuentes. Generalmente son asintomáticos, aunque pueden presentarse con dolor en hipocondrio izquierdo, masa palpable o síntomas compresivos. Debe descartarse el origen parasitario. El diagnóstico definitivo solo es posible con la identificación histopatológica de revestimiento epitelial. El tratamiento es controversial. El drenaje percutáneo con o sin escleroterapia está asociado a persistencia del quiste. La quistectomía y la marsupialización tienen un elevado índice de recurrencia. La esplenectomía tendría mejores resultados con una recurrencia prácticamente nula. La esplenectomía parcial sería superior a la total por conservar la función inmunológica y hematológica. Los pacientes asplénicos tiene un riesgo aumentado de síndrome de sepsis post esplenectomía, con una mortalidad del 50 %, trombosis venosa y arterial e hipertensión pulmonar. Consideramos que la resección quirúrgica con abordaje laparoscópico debería ser la primera opción y podría extenderse a tumores sólidos, enfermedades hematológicas (talasemia, drepanocitosis, esferocitosis), abscesos, infartos y traumatismos.
Palabras clave
Lesiones esplénicas, quistes esplénicos, esplenectomía parcial videolaparoscópica.
Laparoscopic Partial Splenectomy in a Pediatric Patient
Abstract
Introduction: The spleen is a lymphatic organ and is part of the endothelial reticulum system. Isolated primary pathology is rare. Incidental diagnosis of splenic cystic lesions is increasing. Treatment is controversial. Strategies vary from observation to interventional approaches. We present the case of a pediatric patient who underwent laparoscopic partial splenectomy for a cystic lesion.
Case report: A 12-year-old female patient was admitted to the emergency room for abdominal pain in the left hypochondrium of 8 days of evolution. The ultrasound examination showed a large splenic cyst. A computed tomography was requested, which revealed the presence of a cyst of 80 x 70 mm; the laboratory tests for Hydatidosis were negative. The vaccines were adjusted. A laparoscopic partial splenectomy was performed. The biopsy reported a splenic epithelial cyst. No ischemic or residual lesions were evident in the control computed tomography. The patient was asymptomatic until the last follow-up.
Discussion: Splenic epithelial cysts are infrequent. They are usually asymptomatic, although they may present with pain in the left upper quadrant, palpable mass or compressive symptoms. Parasitic origin must be ruled out. Definitive diagnosis is only possible with histopathological identification of epithelial lining. Treatment is controversial. Percutaneous drainage with or without sclerotherapy is associated with persistence of the cyst. Cystectomy and marsupialization have a high recurrence rate. Splenectomy would have better results with practically no recurrence. Partial splenectomy would be superior to total splenectomy for preserving immunologic and hematologic function. Asplenic patients have an increased risk of post-splenectomy sepsis syndrome, with a mortality of 50%, venous and arterial thrombosis and pulmonary hypertension. We consider that partial splenectomy with laparoscopic approach should be the first option and could be extended to solid tumors, hematological diseases (thalassemia, sickle cell disease, spherocytosis), abscesses, infarcts and trauma.
Keywords
Splenic lesions, splenic cysts, laparoscopic partial splenectomy.
Introducción
El bazo es un órgano linfático intraperitoneal y forma parte del sistema retículo endotelial. Cumple dos funciones principales: 1) inmunitaria (proliferación y maduración de linfocitos y formación de anticuerpos); 2) filtrado sanguíneo.1, 2
Puede verse afectado por procesos infecciosos, inflamatorios, metabólicos o neoplásicos sistémicos. La patología primaria aislada no es habitual.1 Sin embargo, el uso cada vez más frecuente de estudios por imágenes ha generado un aumento en el diagnóstico incidental de lesiones quísticas esplénicas.3
Clásicamente se dividen en: tipo I, verdaderos, primarios o congénitos, tapizados por células epiteliales, y tipo II, seudoquistes o secundarios, no recubiertos por epitelio.1,3,4
Los quistes primarios, se subclasifican en parasitarios (hidatídicos) o no parasitarios. Estos últimos son los más frecuentes en pediatría. Pueden ser congénitos (epiteliales, dermoides, epidermoides) o malformativos (malformación vascular linfática).1,3,5
Los quistes secundarios tendrían un origen postraumático, por una falla en la reorganización del hematoma, aunque estudios recientes consideran que son primarios que han perdido su cubierta epitelial.1,4,6
El tratamiento es controversial. Las estrategias varían desde observación y seguimiento hasta abordajes intervencionistas.1,3,4,7,6
Presentamos el caso de un paciente pediátrico con una lesión quística esplénica a quien se realizó esplenectomía parcial videolaparoscópica, con el objetivo de preservar tejido sano y el normal funcionamiento de este órgano.
Objetivos
Describir la técnica quirúrgica utilizada para la resección de lesiones esplénicas con conservación de parénquima.
Presentación del caso
Paciente de 12 años de sexo femenino ingresó a la guardia por cuadro de aproximadamente 8 días de evolución caracterizado por la aparición de episodios de dolor abdominal en flanco e hipocondrio izquierdo, de leve a moderada intensidad, que cedían espontáneamente, sin otro síntoma acompañante. Previamente, había consultado a su pediatra de cabecera quien solicitó laboratorio (sin hallazgos patológicos) y ecografía abdominal que informaba un quiste esplénico voluminoso.
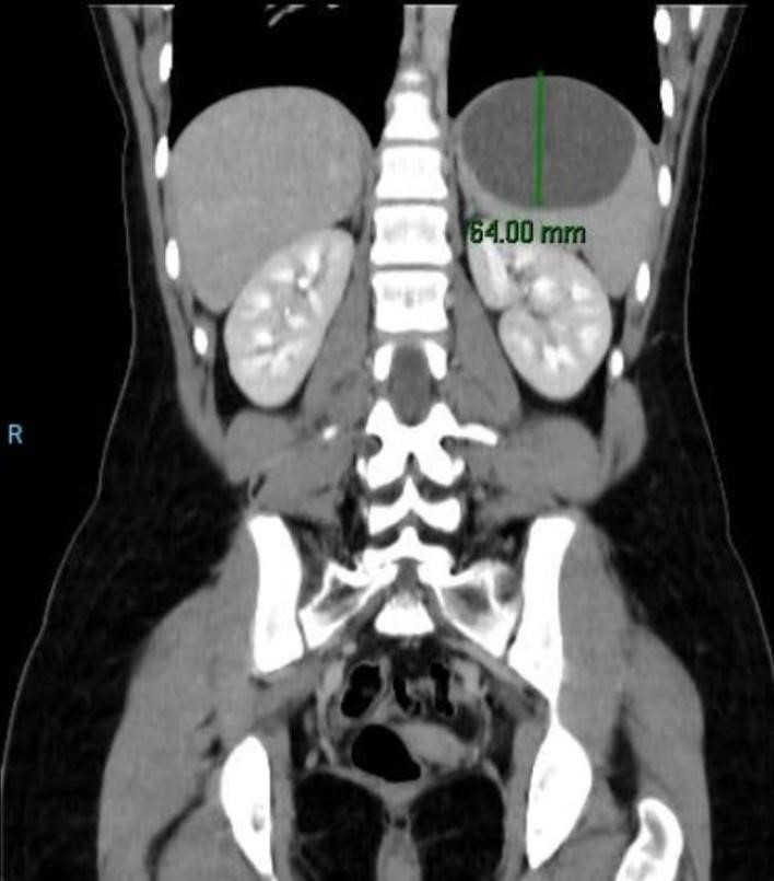
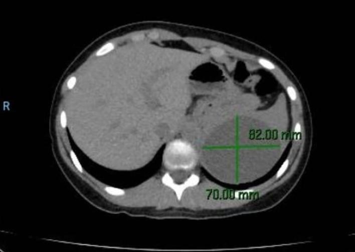
En guardia fue evaluada por el Servicio de Cirugía General Pediátrica. Al momento de la consulta el abdomen era blando, depresible e indoloro. No sé palpaban organomegalias. Se solicitó tomografía computarizada que informaba la presencia de un quiste esplénico de 80 x 70 mm (Figura 1 y Figura 2) y laboratorio para Hidatidosis (IFI – inmunofluorescencia indirecta).
Se indicó alta de internación hasta obtener los resultados. Se interconsultó con Servicio de Infectología para realizar adecuada inmunización, quien indicó colocación de vacunas anti-Neumococo, anti-Meningococo y anti-Haemophilus Influenzae B.
Se obtuvo el siguiente resultado del laboratorio: IFI negativo.
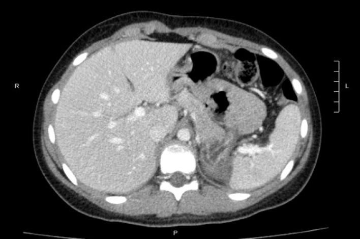
Dos meses posteriores a la primera consulta, se sometió a cirugía donde se realizó una esplenectomía parcial videolaparoscópica: Con el paciente en decúbito lateral derecho y realce lateral se colocaron tres trocares. El primero de 10 mm para la óptica, con técnica abierta, unos 4 cm por debajo del reborde costal, sobre la línea hemiclavicular; los restantes de 15 y 5 mm en flanco izquierdo, línea axilar anterior por debajo del reborde costal y en epigastrio, respectivamente. Se abordó el pedículo vascular esplénico identificando los vasos polares superiores y clipándolos con clips de traba de polímero (Figura 3). Se reparó el pedículo inferior con un lazo siliconado. Posteriormente se liberaron los ligamentos de fijación de la mitad superior del bazo y se seccionaron con bisturí ultrasónico los vasos cortos. Una vez delimitada la zona isquémica a nivel medio del bazo se procedió a la sección del parénquima con bisturí ultrasónico. El sangrado durante la transección fue menor a 100 ml. Una vez finalizada, se cubrió la superficie cruenta con un agente hemostático absorbible. La pieza quirúrgica se extrajo por morcelación en bolsa (Figura 4).
El postoperatorio no presentó complicaciones y el requerimiento analgésico fue mínimo. Recibió el alta de internación a las 48 horas de operada.
El resultado de la biopsia informó un quiste epitelial esplénico.
Se realizó tomografiía computarizada de control sin evidencia de lesiones residuales ni sitios isquémicos, constatado por la captación de contraste endovenoso en todo el volumen del órgano remanente (Figura 5 y Figura 6). La paciente se encontraba asintomática hasta el último control.
Discusión
Los quistes epiteliales esplénicos son infrecuentes. Se presentan en niños, adolescentes y adultos jóvenes, siendo más comunes en niñas.3
Generalmente son asintomáticos. Entre el 30-40 % de los casos puede presentarse con dolor abdominal en hipocondrio izquierdo, como una masa en dicha región y/o con síntomas compresivos.3 Nuestra paciente presentó dolor intermitente en hipocondrio y flanco izquierdo.
Establecido el diagnóstico, deben diferenciarse las lesiones quísticas parasitarias de las no parasitarias. El Echinococcus granulosus es el agente causal del primer grupo y se presenta más frecuentementes en zonas endémicas.3 Sin foco aparente y con el resultado de la IFI negativa se descartó esta etiología. El diagnóstico definitivo solo es posible luego de la resección quirúrgica, con la identificación histopatológica de revestimiento epitelial.3 En nuestro caso el informe anatomopatológico describió una lesión quística simple.
El tratamiento es controversial. Las estrategias varían desde observación y seguimiento imagenológico hasta múltiples abordajes intervencionistas. Estos últimos, están asociados a complicaciones graves, mayor riesgo de sepsis y mortalidad.2 Sin embargo, la falla en el tratamiento de los quistes de mayor tamaño pueden producir hemorragia, sobreinfección y ruptura. Por tal motivo, se indica tratamiento a los quistes sintomáticos y/o mayores a 5 cm.1,3,4,6
El drenaje percutáneo con o sin escleroterapia está asociado a persistencia del quiste.4 La quistectomía y la marsupialización tienen un índice de recurrencia mayor al 90 %, debido a la persistencia del epitelio de revestimiento.7,5 La esplenectomía tendría mejores resultados con una recurrencia prácticamente nula.3-5 La esplenectomía parcial sería superior a la total en términos de conservación de la función inmunológica y hematológica, con menor posibilidad de complicaciones.7,5,8 Para ello, es necesario conservar al menos un 25 % de parénquima sano.1,3,6 Los pacientes asplénicos tiene un riesgo aumentado de infección (incluyendo el síndrome de sepsis post esplenectomía, que se describe en hasta el 10 % de los casos, con una mortalidad del 50 %), trombosis venosa y arterial e hipertensión pulmonar.7,2,5 La trombocitosis post esplenectomía ocurre en un 10 % de los pacientes, pero sería de menor cuantía al realizar una resección parcial.2,8 Con el objetivo de conservar la protección inmunológica y hematológica y disminuir el riesgo de recurrencia, se decidió realizar una esplenectomía parcial.
Conclusiones
La esplenectomía parcial con abordaje laparoscópico es un procedimiento seguro y efectivo. Debería considerarse como primera opción terapéutica.
La preservación de parénquima esplénico sano disminuye las complicaciones infecciosas y hematológicas.
Esta indicación podría extenderse a otro tipo de patologías como ser: tumores sólidos primarios o secundarios, enfermedades hematológicas (talasemia, drepanocitosis, esferocitosis), abscesos, infartos y traumatismos.
Conflicto de intereses
Los autores declaran no tener conflicto de intereses.
FIGURAS
Figuras
Figura 1: Tomografía Computarizada diagnóstica. Corte corona
Figura 2: Tomografía computarizada diagnóstica. Corte axial
Figura 3: Clipado de vasos polares superiores
Figura 4: Pieza quirúrgica
Figura 5: Tomografía computarizada de control. Corte axial
Figura 6: Tomografía computarizada de control. Corte coronal
Bibliografía
1. Sangüesa Nebot C, Carazo Palacios E, Lorens Salvador RL, y col. El bazo pediátrico no traumático. Valoración por imágenes. J Rx. 2019[citado 31/12/1969];61:16-25. Disponible en: https://www.sciencedirect.com/science/article/abs/pii/S0033833818301577
2. Attina G, Triarico S, Romano A, et al. Role of partial splenectomy in hematologic childhood disorders. Pathogens. 2021[citado 31/12/1969];10:1436. Disponible en: https://www.ncbi.nlm.nih.gov/pmc/articles/PMC8620563/
3. Ingle SB, Hinge Ingle CR, Patrike S. Epithelial cysts of the spleen: a mini review. World J Gastroenterol. 2014[citado 31/12/1969];20:13899-13903. Disponible en: https://www.ncbi.nlm.nih.gov/pmc/articles/PMC4194571/
4. Hassoun J, Josephs S, Ortega G, et al. Management of nonparasitic splenic cysts in children. J Surg Res. 2018[citado 31/12/1969];223:142-148. Disponible en: https://pubmed.ncbi.nlm.nih.gov/29433866/
5. Wang Z, Peng C, Wu D, et al. Surgical treatment of benign splenic lesions in pediatric patients: a case series of 30 cases from a single center. BMC Surg. 2022[citado 31/12/1969];22:295. Disponible en: https://bmcsurg.biomedcentral.com/articles/10.1186/s12893-022-01745-2
6. Rescorla FJ, Vandewalle RJ. Splenic Conditions. En: Holcomb G, Murphy JP, Peter S, editores. Holcomb and Ashcraft’s Pediatric Surgery. 7th ed. China: Elsevier; 2020. p. 750-762.
7. Garza Serna U, Ovalle Chao C, Martínez D, et al. Laparoscopic partial splenectomy for congenital splenic cyst in a pediatric patient: case report and review of literature. Int J Surg Case Rep. 2017[citado 31/12/1969];33:44-47. Disponible en: https://www.ncbi.nlm.nih.gov/pmc/articles/PMC5338892/
8. Tomuschat C, Aftzoglou M, Hagens J, et al. Limits in laparoscopic partial splenectomy in children. Children. 2022[citado 31/12/1969];9:605. Disponible en: https://www.mdpi.com/2227-9067/9/5/605
















































